EnglishEspañolPortuguês

Cadela recém recuperada de um acidente precisa de um novo lar em Campinas (SP)

12 de setembro de 2013
1 min. de leitura
A-
A+

Mara Rubia Carvalho Barbosa
[email protected]

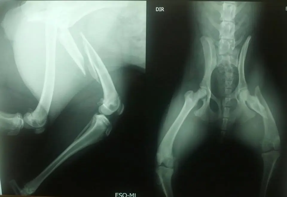
Esse é o RX da Sophia (Foto: Divulgação)
Esse é o RX da Sophia (Foto: Divulgação)

A cadela batizada de Sophia, uma SRD de porte médio, que tem no máximo 10 meses de vida, vivia em situação de abandono nas ruas de Sorocaba (SP) onde foi atropelada por alguém que não lhe prestou socorro. O acidente causou uma fratura na pata traseira.

Sophia foi resgatada por uma veterinária, que a operou e cuidou dela desde então, mas agora ela já está recupera e precisa de um lar e tutores responsáveis. Ela tem um temperamento muito dócil e está saudável. Hoje ela está com Maria Rubia, em Campinas (SP).

Contato: Mara Rubia Carvalho Barbosa, telefone – (19) 32572923 e celular – (19) 9 8185-8205

Você viu?

Ir para o topo